Home / Sample Preparation Kits / Cell Fractionation & Protein Trafficking / Minute™ Plant Lipid Raft Isolation Kit

Minute™ Plant Lipid Raft Isolation Kit (20 preps)

Cat# : PL-051

Description

There are substantial evidences that support the existence of detergent-resistant membrane (DRM) subdomains in both animal and plant membrane systems, which is also referred to as lipid rafts. Lipid rafts are shown to have increased sphingolipid to protein ratio and higher cholesterol concentration. The lipid rafts are believed to play an important role in signal transduction and protein trafficking in eukaryotic cells. Traditional method for lipid raft isolation involves cold non-ionic detergent extraction followed by sucrose gradient ultracentrifugation. The protocol requires large amount of starting material (hundred grams amount) and specialized equipment in addition to lengthy protocol time. We have developed a rapid method for isolation of lipid rafts from plant tissues using only milligram amount of starting material and the protocol can be completed in about 1h without using ultracentrifugation.

Kit includes:

Buffer A

10 ml

Buffer B

10 ml

Buffer C

1.2 ml

Buffer D

10 ml

Plastic Rods

2 units

Filter Cartridge with Collection Tubes

20 units

Protein Extraction Powder

2 grams

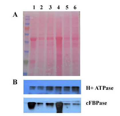
Western Blotting of Isolated Lipid Rafts. A. Ponceau red stained blot membrane. B. Western Blot. Samples: Leaves of Spinacia oleracea (1,2,3) and Blassica rapa (Lanes 4,5,6). Lanes 1 & 4, total tissue lysates. Lanes 2,3 & 4,5; isolated Lipid rafts.  Rabbit anti H+ATPase (plasma membrane marker), and cFBPase (cytosolic marker) were purchased from Agrisera (Vannas, Sweden).

Reference (1)

1. Zhou, N., Li, X., Zheng, Z., Liu, J., Downie, J. A., & Xie, F. (2024). RinRK1 enhances NF receptors accumulation in nanodomain-like structures at root-hair tip. Nature Communications15(1), 1-16.

Quotation request